We Don’t Wait for the Cough

Did you know? According to the World Health Organization (WHO), nearly 50% of people with confirmed TB show no symptoms at all. They feel healthy, they stay home, and silently, the disease spreads.

This is why our strategy is shifting. We aren’t waiting for the sick to walk into a clinic; we are finding TB where it hides.

During our community outreach, our AI-mounted Ultra-Mobile Digital X-ray sees what the human eye cannot:

  • The Tech: AI-powered screening that reads scans in seconds.
  • The Result: Detecting hidden cases and starting treatment before symptoms even begin.
  • The Goal: Shifting from “waiting for the sick” to “finding the healthy.”

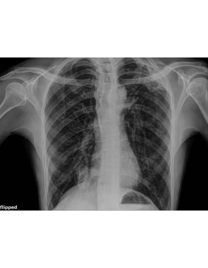
The image above, captured during our routine Active Case Finding in Addis Ababa, is more than just a scan—it is a life saved.

The individual in this image felt perfectly fine and had zero signs or symptoms. However, because of this technology, we found his TB early. He has already started his treatment and is now on the path to a full recovery.

This vital work is made possible through the support of the U.S. Government to save lives through the Urban TB Local Organizations Network II (LON II) Project. Strengthening community-based prevention is the only way to reach our National End TB targets.

Yes! We Can End TB.

Leave a reply

REACH Ethiopia grew out of a TB project that started in 2010. This project introduced an innovative community package that engaged health extension workers (HEWs) to increase TB case detection and treatment adherence.
Addis Ababa, Ethiopia

Recent Post

    Newsletter

    Get all the latest updates

    Copyright © 2023 Reach Ethiopia.