Advancing TB Diagnostics: National Laboratory Network Review

📍 Adama, Ethiopia Last week, Ethiopia’s leading laboratory experts and health stakeholders gathered in Adama for a high-level review of the National TB Laboratory Network. Organized by the REACH Ethiopia/iNTP 2.0 project in collaboration with the Ethiopian Public Health Institute (EPHI), this workshop served as a critical platform for assessing national progress, addressing systemic challenges, […]

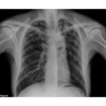
Enhancing Prevention through integrated Retrospective DR-TB Contact Screening and DR-TB Preventive Therapy Initiative

Kidus Petros Specialized Hospital, the national center of excellence for DR-TB care, in collaboration with Urban TB LON II Project, supported by the US government has stepped up its DR-TB Prevention and care services by conducting retrospective household contacts screening using AI-Powered CXR systems and initiation of DR-TB Preventive Therapy (DR-TB TPT) for eligible household […]

Development of LabXpert connectivity training Materials Workshop

REACH Ethiopia, as part of the iNTP II project, recently organized a crucial Four-day workshop in collaboration with the Ethiopian Public Health Institute (EPHI). The workshop’s primary focus was the development of standardized training materials for LabXpert Connectivity. These new materials were successfully integrated with the existing GeneXpert and Truenat training manuals. This standardization is […]

REACH Ethiopia Supports Ethiopia’s Mid-Term TBLLD Review

(Addis Ababa, December 3, 2025) REACH Ethiopia is proud to participate in the Mid-Term External Review of the National TB, Leprosy, and Other Lung Diseases (TBLLD) Strategic Plan (2023-2030) in Ethiopia. This participation underscores our ongoing commitment to the End TB Strategy through direct technical and financial support for national programs. Yesterday, an essential orientation […]

Empowering Local Heroes

Community-level TB screening is a vital strategy to find every single missed TB case and accelerate progress toward the end of TB. Our mission focuses on robust community engagement, as involving every community member is key to changing attitudes and reducing stigma around the disease. We recently took a major step forward by successfully conducting […]

Fighting TB Together: Strengthening Ethiopia’s National Strategy

Ethiopia’s National TB Control Strategy is anchored in the Public-Private Mix (PPM-TB) model, a comprehensive approach designed to involve all relevant healthcare providers—public, private-for-profit, and non-profit—in the fight against TB The Power of Collaboration This essential collaboration works to: PPM-TB actively engages various partners, including private hospitals, clinics, NGOs, and workplace health facilities. These partners […]

REACH Ethiopia Shines at the 2025 UNION World Conference in Copenhagen! 🌍

We are thrilled to announce our highly successful participation at the 56th UNION World Conference on Lung Health, held in Copenhagen, Denmark. As the world’s largest and most crucial platform dedicated to ending TB, the conference provided the perfect opportunity to showcase REACH Ethiopia’s innovative, evidence-driven work and our commitment to equitable TB programming across […]

Enhancing TB Detection & Patient Care Through Continuous Quality Improvement

Improving the overall quality of TB services is not just an aspiration but a vital necessity for achieving the national #EndTB strategy in Ethiopia. The Urban TB LON II Project is actively committed to driving this quality improvement agenda forward, ensuring more efficient detection and people-centered care. Driving Change: The Continuous Quality Improvement (QI) Workshop […]

Integrating Gender for Impact: New Strategy to Improve TB Care

As part of the project “Reaching Vulnerable and Key Affected Populations to Improve Access to TB Care in Pastoralist Areas of Ethiopia”, funded by L’Initiative and implemented with the technical support of Expertise France, a series of gender capacity-building workshops took place in Addis Ababa in early October 2025. This three-year project (July 2023 – […]

Boosting TB Detection with AI

Harnessing cutting-edge technology, the AI-Mounted Digital X-ray for TB Screening is transforming early and accurate detection in Ethiopia, recently we concluded a 3-day “Basic Training on the AI-Mounted Digital X-ray for TB Screening & Detection” for 30 participants, including REACH Ethiopia Urban TB officers & healthcare workers in Addis Ababa. The session provided hands-on training […]

REACH Ethiopia grew out of a TB project that started in 2010. This project introduced an innovative community package that engaged health extension workers (HEWs) to increase TB case detection and treatment adherence.
Addis Ababa, Ethiopia

Recent Post

    Newsletter

    Get all the latest updates

    Copyright © 2023 Reach Ethiopia.